OraCare speciality Dental clinic
Our aim is to make a positive difference in the lives of children and adults by providing convenient and high quality dental care.
OraCare Specialty Dental Clinic has quickly become a cornerstone of dental care in Addis Ababa since its establishment in 2020. With a mission to deliver high-end dental services, the clinic, under the leadership of its founder, Dr. Yehya Seid Ibrahim, has flourished, providing top-tier dental care rooted in a strong educational background and extensive work experience. Today, the clinic is entrusted with the care of over 8,000 patients, more than half of whom are students in various stages of orthodontic treatment.
Easy appointment
system









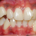
Orthodontics and dentofacial orthopedics focus on managing and correcting teeth and jaw alignment. This specialty involves supervising and guiding the development of dental and facial structures, treating conditions that require teeth movement or correcting misalignments. The practice adjusts relationships between teeth and facial bones through specific forces or by redirecting natural growth processes.
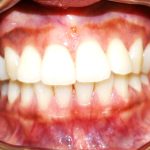
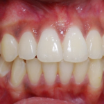
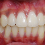
Crowns are dental restorations that strengthen and improve the alignment, shape, and appearance of teeth. They are typically used to protect weak teeth, restore fractured teeth, cover large fillings, support bridges, cap dental implants, or improve the look of discolored or misshapen teeth.
Prosthodontics is the dental specialty dedicated to restoring and maintaining oral function, comfort, appearance, and health for patients with missing or damaged teeth. It involves creating crowns, bridges, dentures, and veneers to enhance both function and aesthetics, ultimately improving the patient’s overall well-being.
Clear aligner therapy is a modern orthodontic alternative to traditional braces, using custom-made, clear aligners for each patient. This method eliminates metal brackets and wires, providing a more comfortable experience. The nearly invisible aligners gradually shift teeth into the desired position as directed by the orthodontist.








Aside from coming in-person to book an appointment at oraCare, you can reserve via phone or by filling out the contact form on the website.
OraCare has a long list of business customers (organizations) as its patrons and clients that most are from international organizations in Ethiopia. OraCare opens its doors to new potential partners as well, please refer the partners page.
The founder of OraCare is active in participating in professional dental associations such as the Ethiopian Dental Association as well as American Dental Association and several other international dental societies. He was also as a vice president of the Ethiopian Dental association as well as chief editor of the Ethiopian dental journal. He is also active in participating and teaching in professional development courses of the association. He also participates in international dental conferences on a regular basis. OraCare is regarded as one of the most prestigious Dentistry in Ethiopia
Patients have various options when it comes to the payment methods, such as, debit and credit cards (for local bank names, Mastercard, Visa, American Express). OraCare offers credit facilitation services for organization patient-clients as well.
Office
OraCare Specialty Dental Clinic
African Union street, Addis Ababa, Ethiopia
Phone No.
+251 911 51 47 57
+251 115 57 44 03
+251 115 57 44 82